The ovary is a common site of metastases from malignant tumors. Most metastases in the ovaries originate in the gastrointestinal tract or the breast. The distinction between primary and metastatic ovarian neoplasm is of critical importance, since surgical cytoreduction is the treatment of choice for the former.

Metastases to the ovary

Abstract: The ovary is a common site of metastases from malignant tumors. Most metastases in the ovaries originate from the gastrointestinal tract or the breast. The distinction between primary and metastatic ovarian neoplasm is of critical importance, since surgical cytoreduction constitutes the treatment of choice in the first group but is of disputed values in the second group. Pathological reports describe metastatic tumors as often being bilateral multinodular lesions. Extensive areas of haemorrhage and/or necrosis are common. Ovarian metastases derived from lymphoma or from tumors in the stomach, breast and uterus are solid at ultrasound examination in almost all cases, whereas those derived from the colon, rectum or biliary tract manifest more heterogeneous morphological patterns, most being multicystic with irregular borders. The prognosis for patients with a metastatic tumor in the ovary is poor.

Authors: Erika Fruscella1, Ilaria De Blasis1, Daniela Fischerova2, Antonia Carla Testa1

  1. Department of Obstetrics and Gynecology of the Catholic University, Rome, Italy
  2. First Faculty of Medicine and General University Hospital,Charles University, Prague, Czech Republic.

View the Patient Information leaflet

Definition

Metastatic ovarian tumors are malignant tumors that metastasize to the ovary from extraovarian primary neoplasm.

Epidemiology

5-20% of all ovarian neoplasms are metastases from primary tumors in other organs.1

Pathogenesis

Metastatic tumors spreading to the ovary may be divided according to the origin of the primary tumor. Their spread may occur by direct local extension or from distant extragenital sites via blood and lymphatic vessel and/or through transcoelomic dissemination with surface implantation.

The primary genital sites which can metastasize to the ovaries are the endometrium and fallopian tubes.

The primary non genital sites which can metastasize to the ovaries include colon, stomach, breast, pancreas, lung, gallbladder, small intestine, kidney and liver, as well as lymphoma, melanoma, sarcoma and carcinoid. Most metastases (50–90%) in the ovaries originate from the gastrointestinal tract or the breast.2.

Macroscopic appearance

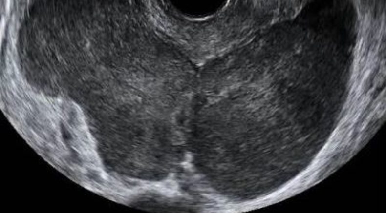
Pathological reports3 describe metastatic tumors as often being bilateral lesions (about 60% of cases) that appear as diffusely solid tumors, multiple solid nodules, partly cystic masses or, rather uncommonly, entirely cystic lesions.

Even when the primary tumor is solid, metastases in the ovaries may be cystic or semicystic. Extensive areas of haemorrhage and/or necrosis are common.

Krukenberg tumors are typically solid masses with a bosselated outer surface.

Ultrasound characteristics

At ultrasound examination metastatic tumors usually appear as bilateral lesions and morphology is different according to the primary tumor.

Ovarian metastases derived from stomach cancer, breast cancer, lymphomas and uterine cancer are solid in almost all cases, whereas those derived from the colon, rectum and biliary tract manifest more heterogeneous morphological patterns, most being cystic with many cyst locules and irregular borders. It is possible that mucin production explains the large tumoral diameter and cystic pattern in ovarian metastases from colorectal cancer.4-6

At Color or Power Doppler examination, most metastases (78%) appeared to be well-vascularized,6 although no difference in the distribution of vascular indices according to the origin of the primary tumor has been documented. It was also reported that metastases from the colon–rectum, appendix and pancreas appeared slightly less vascularized than the other metastases.

At Color Doppler examination, it was observed that cases of metastases to the ovaries are characterized by main peripheral vessel which penetrates into the central part of the ovarian mass with a tree-shaped morphology, the so called “lead vessel."7

Clinical symptoms

The symptoms of metastatic tumors in the ovaries are non-specific and related to the presence of a pelvic mass. Sometimes patients are asymptomatic and diagnosed at a routine follow-up examination. An ovarian mass may be the initial manifestation of a primary tumor located elsewhere, the primary tumor being detected only following the diagnosis of the metastatic tumor. In Krukenberg tumors, although the symptoms are usually unspecific, endocrine manifestations, such as virilization during pregnancy, may result from stromal luteinization.

Prognosis

Discrimination between primary ovarian cancer and metastatic tumors in the ovary is important clinically, because their management is different. Surgical cytoreduction is of the most importance in the treatment of primary ovarian cancer, while the impact of surgery on the clinical outcome of metastatic tumors in the ovaries is controversial.2 Preferably, a correct diagnosis of primary ovarian cancer vs. ovarian metastases should be made before surgery. However, the correct preoperative diagnosis of metastases in the ovary is a challenge.8 It is important to realize that symptoms or clinical findings that can be explained by metastases in the ovaries may be the first signs of a primary tumor in another organ.9 In cases in which ovarian metastases are suspected clinically, a knowledge of the sonographic characteristics of metastases from primary tumors of different origins (cystic metastases deriving from tumors in the colon–rectum; solid metastases deriving from tumors in the breast and stomach) could facilitate location of the primary tumor.

The prognosis for patients with a metastatic tumor in the ovary is poor, with a 5-year survival period in 36% of cases and a median survival of 42 months.10 Survival time depends on the origin of the primary tumor; the median survival time for ovarian metastases from breast cancer is 36–54 months, that from colorectal cancer is 48 months and that from lymphoma is 181 months. The prognosis for a woman with a Krukenberg tumor is extremely poor, with a 5-year survival period in 12% of cases.11

References

1. Young RH, Scully RE. Metastatic tumors in the ovary: a problem-oriented approach and review of the recent literature. Semin Diagn Pathol 1991; 8: 250–276.

2. Yada-Hashimoto N, Yamamoto T, Kamiura S, Seino H, Ohira H, Sawai K, Kimura T, Saji F. Metastatic ovarian tumors: a review of 64 cases. Gynecol Oncol 2003; 89: 314–317.

3. Hart WR. Review article. Diagnostic challenge of secondary (metastatic) ovarian tumors simulating primary endometrioid and mucinous neoplasms. Pathol Int 2005; 55: 231–243.

4. Zikan M, Fischerova D, Pinkavova I, Dundr P, Cibula D. Ultrasonographic appearance of metastatic non-gynecological pelvic tumors. Ultrasound Obstet Gynecol 2012; 39: 215-225.

5. Guerriero S, Alcazar JL, Pascual MA, Aiossa S, Olartecoechea B, Hereter L. Preoperative diagnosis of metastatic ovarian cancer is related to origin of primary tumor. Ultrasound Obstet Gynecol 2012; 39: 581-586.

6. Testa AC, Ferrandina G, Timmerman D, Savelli l, Ludovisi M, Van Holsbeke C, Malaggese M, Scambia G, Valentin L. Imaging in gynecologl disease (1): ultrasound features of metastases in the ovaries differ depending on the origin of the primary tumor. Ultrasound Obstet Gynecol 2007; 29: 505-511.

7. Testa AC, Mancari R, Di Legge A, Mascilini F, Salutari V, Scambia G, Ferrandina G. The ‘lead vessel’: a vascular ultrasound feature of metastasis in the ovaries. Ultrasound Obstet Gynecol 2008; 31: 218-221.

8. Brown DL, Zou KH, Tempany CM, Frates MC, Silverman SG, McNeil BJ, Kurtz AB. Primary versus secondary ovarian malignancy: imaging findings of adnexal masses in the Radiology Diagnostic Oncology Group Study. Radiology 2001; 219: 213-218.

9. Young RH, Scully RE. Metastatic tumors of the ov ary. In Blaustein’s Pathology of the Female Genital Tract, Kurman RJ (ed). Springer Verlag: New York, 1997; 939–974.

10. Ayhan A, Guvenal T, Salman MC, Ozyuncu O, Sakinci M, Basaran M. The role of cytoreductive surgery in nongenital cancers metastatic to the ovaries. Gynecol Oncol 2005; 98: 235–241.

11. Webb M, Decker D, Mussey E. Cancer metastatic to the ovary. Obstet Gynecol 1975; 45: 391–394

 

This article should be cited as: Erika Fruscella , Ilaria De Blasis, Daniela Fischerova,Antonia Carla Testa: Metastases to the ovary, Visual Encyclopedia of Ultrasound in Obstetrics and Gynecology, www.isuog.org, April 2015


Leave feedback or submit an image

We rely on your feedback to update and improve VISUOG. Please use the form below to submit any comments or feedback you have on this chapter.

If you have any images that you think would make a good addition to this chapter, please also submit them below - you will be fully credited for all images used.

Feedback form

Please note that the maximum upload size is 5MB, and larger images and video clips can be sent to [email protected]. 

Please leave any feedback you have on this chapter e.g. gaps you have noticed, areas for improvement.
Please enter a short description of your image

 

 

Share