January 2026 UOG Highlights
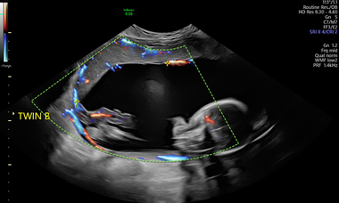
The January issue of Ultrasound in Obstetrics & Gynecology includes a meta-analysis evaluating the use of transvaginal ultrasound for diagnosing parametrial involvement in deep pelvic endometriosis, a retrospective study comparing the use of intertwin estimated fetal weight discordance vs singleton and twin fetal growth charts for predicting adverse perinatal outcomes in twins, a paper assessing the effectiveness of the first-trimester anomaly scan, and a prospective study examining the efficacy of a multimodal sonographic approach compared with transvaginal ultrasound for endometrial assessment in abnormal uterine bleeding.
ISUOG Podcast wrapped 2025
As 2025 comes to a close, we reflect on the great success the ISUOG podcast has achieved in 2025 and highlight the episodes you may have missed from the second half of the year.
December 2025 UOG Highlights
The December issue of Ultrasound in Obstetrics & Gynecology includes an observational cohort study assessing the neurodevelopmental outcomes of uncomplicated monochorionic diamniotic twins, a systematic review evaluating the use of twin vs singleton growth charts for identifying small-for-gestational-age fetuses at risk of adverse neonatal outcomes, a study investigating the performance of non-invasive prenatal testing in vanishing-twin and multiple pregnancies, and a prospective cohort study examining the prevalence of LAM avulsion after forceps-assisted and vacuum-assisted deliveries.
TTTS Awareness Month 2025
December is International Twin-Twin Transfusion Syndrome (TTTS) Awareness Month - a time to recognise a life-threatening complication that affects 9-15% of monochorionic pregnancies.
A message from the ISUOG President
Read the latest message from the ISUOG President Prof. Reem Abu-Rustum.





